Dental Conservation
Dental Conservation (M.Sc.)

The postgraduate course, which can also be studied part-time, is aimed at dentists with a German license to practice medicine and at least 1 year of professional experience.
- Degree
- Master of Science
- Duration of studies in semester
- 5
- Start of degree program
- Winter semester
- Study location
- Erlangen
- Number of students
- <25
- Subject group
- Medicine, Health sciences
- Special ways to study
- Professional development program
- Teaching language
- completely in German
- Admission Requirements
- Qualification assessment
- Keywords
- Medicine, Dentist
What is the degree program about?
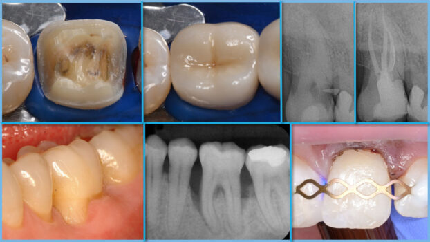
The postgraduate course in „Dental Conservation“ is aimed at dentists who wish to continue their education in a structured and in-depth manner in the various areas of dental conservation and graduate with the „M. Sc.“ certificate, which is a mark of quality for the practice. Dental conservation plays an important role in routine dental practice. The subjects covered in depth are „Restorative Dental Conservation“, „Periodontology“, „Endodontology“ and „Preventive and Pediatric Dentistry“. Dentists with a German license to practice medicine and at least 1 year of professional experience can apply. The course can also be studied part-time.
-
In the first four semesters, the subjects of dental conservation are taught: restorative dental conservation, periodontology, endodontics, preventive and pediatric dentistry. The Master’s thesis follows in the fifth semester. During the semester, lectures and clinical case discussions are held every week in a hybrid format. The main focus is on patient treatment, which is carried out in the student’s own practice. A specified treatment catalog is to be fulfilled in each of the four subjects. The cases are documented according to the prescribed form and discussed in the case discussions. There are 2-3 hands-on courses per semester on Friday afternoons, the dates of which are set in advance.
The examinations are conducted as case discussions based on the case documentation.
The lecturers come from the Department of Conservative Dentistry and Periodontology at Erlangen University Hospital. However, external experts recognized in their field will also speak. -
restorative dental conservation, periodontology, endodontics, preventive and pediatric dentistry
-
- a German license to practice medicine
- at least 1 year of professional experience
-
- Admission requirements (first semester)
- Qualification assessment
- Application deadline winter semester
-
29.07.
- Content-related admission requirements
-
Compilation of an anonymized patient case from previous professional activity in compliance with data protection regulations, including medical history, diagnosis, treatment, prognosis and critical evaluation.
Language skills
- German language skills for international applicants
- DSH 2 (written 2 / oral 1) or equivalent
- Details and notes
-
Detailed information on the admission requiements and application procedure can be found on the website of the degree program.
- Degree Program Fees
- 20.000 Euro
Do you need help or more information?
Our Student Advice and Career Service (IBZ) is the central point of contact for all questions about studying and starting a degree programme. Our Student Service Centres and subject advisors support you in planning your studies.